. Earth Science News .
Scientists Discover Unique Microbe In California's Largest Lake

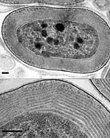
This new cyanobacterium, isolated from the Salton Sea by the laboratory of University of Oregon biologist Michelle Wood, uses a combination of infrared and visible light for oxygen-evolving photosynthesis. Transmission electron micrograph by Sunny Augustine. Scale bar is 0.10 millimeters. Credit: University of Oregon/ National Academy of Science.

Eugene OR (SPX) Jan 11, 2005
Scientists at the University of Oregon have discovered a form of blue-green algae that lives independently in California's Salton Sea, using near-infrared light for photosynthesis, according to an article published in this week's online edition of the Proceedings of the National Academy of Sciences (PNAS).

"This new strain of Acaryochloris is unique because it is able to live on its own," says UO biology professor Michelle Wood. She obtained samples containing the organism while studying the diversity of blue-green algae in the hypersaline lake as part of the comprehensive study of the Salton Sea coordinated by Professor Stuart Hurlbert, director of the Center for Inland Waters at San Diego State University.

Scott Miller, the lead author on the paper, grew the organism from samples collected by Wood and Hurlbert. Now an assistant professor of biological sciences at The University of Montana, he was working with Wood as a graduate research associate when he first noticed the organism's unusual lime-green color.

"I knew right away there was something unusual about its photochemistry," Miller recalls.

"We purified the pigments from the strain and saw that they were very similar to those known from a species of blue-green algae called Acaryochloris marina, but different from any found in other higher plants or algae. The primary pigment, called chlorophyll d, is only made by Acaryochloris and it is what enables these species to use infrared light."

The new microbe is one of only three organisms known to science that use a combination of near-infrared light and visible light to produce oxygen by photosynthesis.

"While there are some bacteria that can use infrared light for photosynthesis, they do not produce oxygen," Wood explains.

"Until recently, we thought it was necessary to use visible light to produce oxygen through photosynthesis, but now we know there are at least three organisms that can do this using infrared radiation as well.

"All three of these organisms are closely related species of Acaryochloris, but the other two live in the Pacific and must grow on or in an animal or plant to survive in nature," Wood says.

"This new microbe opens up a whole new range of possible habitats where oxygen could be produced by photosynthesis using wavelengths of light that exist beyond the visible spectrum."

The PNAS article is co-authored by Miller and Wood along with Sunny Augustine and Jeanne Selker of the University of Oregon and Tien Le Olson and Robert E. Blankenship of Arizona State University.

Augustine, a postdoctoral associate in Wood's lab, worked with Selker, former director of the UO electron microscopy facility, to compare the cellular structure of the new organism with that of the symbiotic form of Acaryochloris.

Blankenship and Olson compared its pigments with those of A. marina, one of the symbiotic species.

"Chlorophyll d is a pigment that is intermediate between the chlorophylls found in the more primitive non-oxygen evolving photosynthetic bacteria and the chlorophylls found in oxygen evolving photosynthetic organisms. It may have an important place in the evolution of photosynthesis," says Blankenship, professor and chair of the ASU Department of Chemistry and Biochemistry.

Miller says another surprising discovery occurred when the scientists studied the DNA of the new organism. By analyzing sequence data for the small subunit ribosomal RNA gene, which encodes part of the cell's protein synthesis machinery, they demonstrated that chlorophyll d-producing blue-green algae (more technically known as cyanobacteria) have acquired a piece of DNA from a proteobacterium, a distant relative that last shared a common ancestor with cyanobacteria more than two billion years ago.

The small subunit ribosomal RNA gene is widely used by scientists to infer the relationships among living organisms, in part because it is generally assumed that it is faithfully transmitted from parent to offspring.

However, in the case of this new microbe, it appears that DNA encoding a small portion of the ribosomal gene in a proteobacterium jumped across the vast evolutionary distance that separates the proteobacteria and cyanobacteria, and switched places with the portion of the gene that had originally been inherited from the cyanobacterial parent.

"This finding shows that even this popular evolutionary chronometer can be a mosaic of genetic information with radically different origins," Miller says.

Using a molecular clock, Miller estimated that the proteobacterial DNA was obtained by an ancestor of modern chlorophyll-d producing cyanobacteria between roughly 10 and 100 million years ago.

"The maintenance of this hybrid gene over such a long time period suggests that it has been favored by natural selection," Miller says.

The foreign DNA encodes a structural feature of the ribosome that makes large and precise movements during protein synthesis, but its exact function is still unknown.

The next challenge, Miller says, will be to determine whether this example of instant evolutionary innovation by genetic exchange has in fact had consequences for ribosome function in these bacteria.

The new species of Acaryochloris is the latest in a series of new organisms from the Salton Sea that have been identified as part of Wood's study of the blue-green algae in the lake. With Miller, UO emeritus professor Richard Castenholz, and Canadian oceanographer William Li, she published a paper in the journal Hydrobiologia in 2002 that described five previously unknown species.

The Salton Sea covers a surface area of 376 square miles in southeastern California. Its current elevation is about 227 feet below mean sea level, its maximum depth reaches 51 feet and its total volume is about 7.5 million acre-feet.

It was formed in the early 1900s, when flow from the Colorado River was inadvertently directed to the Salton Basin. Once the Army Corps of Engineers returned the river to its normal bed, the lake began to evaporate, gradually becoming one of the largest hypersaline lakes in the United States.

Because it also receives the agricultural runoff of the Imperial Valley and municipal runoff from Mexicali, Mexico, considerable attention has focused on the fate of the now highly polluted water body. After massive fish kills and avian mortality in the 1990s, federal agencies targeted the lake for one of the nation's largest restoration projects.

Wood says the discovery also shows that the Salton Sea, with its high load of nutrients, may provide an environment that allows this novel photosynthetic organism to live a free and independent lifestyle. She notes that the other two species of Acaryochloris live in relatively pure ocean water, but cannot survive there unless they are growing in or on another organism.

"I think it is likely that this microbe is descended from symbiotic relatives who got to the Salton Sea as hitchhikers in water containing sport fish that were introduced from the ocean many years ago," Wood explains.

She says the Salton Sea may have fostered this species of Acaryochloris' ability to live independently by mimicking the environment created by the original host.

In the open ocean, which itself is nutrient poor, the host animal or plant provided a nutrient-rich environment with relatively high amounts of infrared light; in the Salton Sea, the waters themselves create a comparable niche. Wood thinks that the high availability of nutrients in the waters of the Salton Sea is what allowed the microbe to survive without its hosts in the saline lake.

At the University of Oregon since 1990, Wood is a member of the UO's Center for Ecology and Evolutionary Biology. She has played a key role in changing the scientific world's understanding of how ocean food webs are based on much smaller organisms than previously believed.

Wood is an adjunct scientist at the Bigelow Laboratory for Ocean Sciences and the Harbor Branch Oceanographic Institution. In 2004, she became a fellow of the Cooperative Institute of Oceanographic Satellite Studies (CIOSS) at Oregon State University.

Related Links
SpaceDaily
Search SpaceDaily
Subscribe To SpaceDaily Express

NASA Analyzes Prehistoric Predator From The Past
Pittsburgh PA (SPX) Jan 11, 2005
As NASA charts a bold new course into the future, the space agency is briefly taking a step back in time to examine a Tyrannosaurus rex skull.









  • Drought's Growing Reach: NCAR Study Points To Global Warming
  • Climate: The Debate Is Changing
  • Evidence For Sun-Climate Link Reported By UMaine Scientists
  • Australia Draws Line With United States On Global Warming: Report

  • Gorillas In The Midst Of Extinction
  • Global Space Cooperation For Disaster Relief
  • NASA Goes Down Under For Shuttle Mapping Mission Finale
  • Scientists Study Ocean To Understand Global Cooling

  • Hybrid-Electric Vehicle Demand To Reach 4.5 Million Units in 2013
  • Georgia Tech Developing Efficient Organic Solar Cell
  • Sonofusion Research Reactor Now Available from Impulse Devices
  • Analysis: Path 15 An Energy Breakthrough?



  • NASA Analyzes Prehistoric Predator From The Past
  • Scientists Discover Unique Microbe In California's Largest Lake
  • Our Cosmic Self-Esteem
  • Insects Implicated In Evolution Of New Human Infectious Diseases





  • The content herein, unless otherwise known to be public domain, are Copyright 1995-2006 - SpaceDaily.AFP and UPI Wire Stories are copyright Agence France-Presse and United Press International. ESA PortalReports are copyright European Space Agency. All NASA sourced material is public domain. Additionalcopyrights may apply in whole or part to other bona fide parties. Advertising does not imply endorsement,agreement or approval of any opinions, statements or information provided by SpaceDaily on any Web page published or hosted by SpaceDaily. Privacy Statement